27 of 32 study participants regained their ability to read letters, numbers, and even full pages, after decades of irreversible blindness from geographic atrophy.
  |
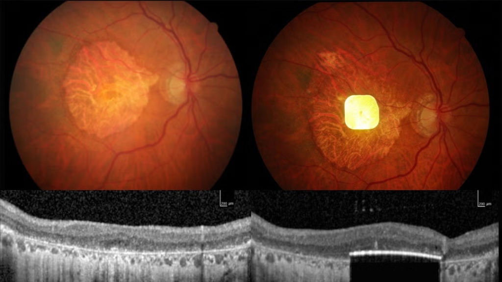
A tiny wireless chip restored vision in people with advanced AMD | Geographic atrophy affects 8 million people worldwide with a form of age-related macular degeneration that permanently destroys central vision. There is no cure and, until now, these patients relied on magnifiers and special eyeglasses just to navigate daily life. This week, we learned how the a new retinal implant system may significantly improve their prospects.
The PRIMA implant is positioned in the subretinal space at the back of the eye, paired with special glasses that project near-infrared images onto the chip. The implant is powered by light that penetrates to the back of the eyeball, eliminating the need for batteries or wires.
Of the 32 participants who completed the 12-month trial across five European countries, 26 experienced clinically meaningful vision improvement. Participants gained an average of five lines on standard eye charts, with one patient improving by 12 lines, and 27 participants regained their ability to read at home.
"More than 80% of the patients were able to read letters and words, and some of them are reading pages in a book," explained Dr. José-Alain Sahel, Distinguished Professor and Chairman of Ophthalmology at the University of Pittsburgh, who co-led the study published in the New England Journal of Medicine.
However, the procedure carries risks, with 81% of participants experiencing serious adverse events, though 95% of those resolved within two months.
To learn more about the surgical procedure, cost considerations, and what improvements future versions might bring, jump to "New retinal implant may restore central vision in people with advanced AMD."
Also making headlines this week:
💊 Weight loss drugs improve heart health regardless of amount of weight lost
🧠 Study finds menopause causes brain changes that may affect memory, mood
🔬 First Alzheimer's pill for genetically at high risk shows promise in phase 3 trial
We love to hear from you, so please email us if you have any feedback, comments, or questions about this weekend's Sunday Supplement.
Stay informed and stay healthy!
Tim Snaith Newsletter Editor, Medical News Today
| | |
| | | First Alzheimer's pill for genetically at high risk shows promise in phase 3 trial |  | | | | Phase 3 clinical trial results of an investigational drug has shown benefits in treating people with APOE4/4 with early Alzheimer's disease. | Read on  | | | | | | Study finds menopause causes brain changes that may affect memory, mood |  | | | | What happens to the brain during menopause? A new study finds that the brain undergoes structural changes, including the gray and white matter, which may impact memory, thinking, and mood. | Read on  | | | | | | Weight loss drugs improve heart health regardless of amount of weight lost: study |  | | | | Semaglutide, the active ingredient in Wegovy and Ozempic, lowers major cardiac event risk, regardless of how much weight a person loses while taking the GLP-1 medication, a new study finds. | Read on  | | | | | | Exercise may help counter depressive, anxiety-like symptoms from Western diet |  | | | | A study in mice has shown that exercise helped reduce depressive and anxiety-like symptoms induced by a typical Western diet high in fat and sugar. | Read on  | | | | | | Walks longer than 10 minutes at a time may have more cardiovascular benefits |  | | | | A new study found that walking for longer stretches at a time, ie. for 10 minutes or more, was associated with a lower risk of death and cardiovascular disease. | Read on  | | | | | | | | | |
You are receiving this newsletter because you subscribed on our web site, Medical News Today. Did a friend send you this email? Subscribe here. View in Browser | Privacy Policy | Unsubscribe Our website services, content, and products are for informational purposes only. Medical News Today does not provide medical advice, diagnosis, or treatment and should not be used as a substitute for medical advice from a healthcare professional. Medical News Today encourages you to make any treatment decisions with your healthcare professional. Medical News Today is owned by RVO Health. © 2025 RVO Health 1101 Red Ventures Drive Fort Mill, SC 29707 | | |  | |
Comments
Post a Comment